165 읽음
뼈 조직이 서서히 죽어가는 병…앉아 있는 것도 고통
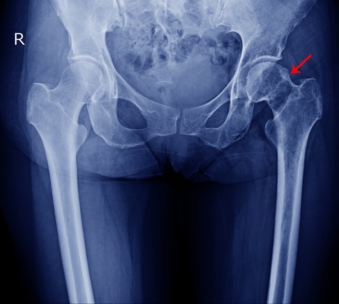
위키트리단순한 근육통이라 여겼지만, 검진 결과 그는 ‘대퇴골두 무혈성 괴사’ 진단을 받았다. 골반 괴사라고도 불리는 이 질환은 대퇴골의 머리 부분으로 가는 혈액 공급이 차단되면서 뼈 조직이 서서히 괴사하는 질병이다.
전문가들에 따르면 골반 괴사는 조기에 발견되지 않으면 관절염으로 진행되거나 인공관절 수술이 필요할 수도 있는 심각한 질환이다. 초기에는 특별한 증상이 없지만, 병이 진행되면 서혜부와 엉덩이, 허벅지까지 통증이 나타나고 걸음걸이가 달라지는 특징이 있다. 특히 오래 서 있거나 걸을 때 통증이 심해지고, 심한 경우 앉아 있을 때도 불편함을 느낄 수 있다.

진단을 위해서는 엑스레이와 MRI 촬영이 필요하다. 초기 단계에서는 엑스레이에서 이상이 보이지 않을 수 있으므로, 보다 정밀한 검사가 요구된다. 치료 방법은 병의 진행 정도에 따라 달라진다. 초기라면 약물 치료와 혈류 개선을 위한 물리치료, 체중 조절 등이 권장된다. 하지만 괴사가 심해지면 뼈 이식술이나 인공관절 치환술이 필요할 수도 있다.
의료진은 “골반 괴사는 증상이 애매하고 초기 발견이 어려운 질환이므로, 평소 고관절 주변에 불편함이 지속된다면 병원을 방문해 정밀 검사를 받아야 한다”고 조언한다. 또한 스테로이드 복용 시 의사의 지시에 따르고, 과음을 피하며 규칙적인 운동을 통해 혈액순환을 원활하게 하는 것이 예방에 도움이 된다고 강조한다.
